手 猫の骨

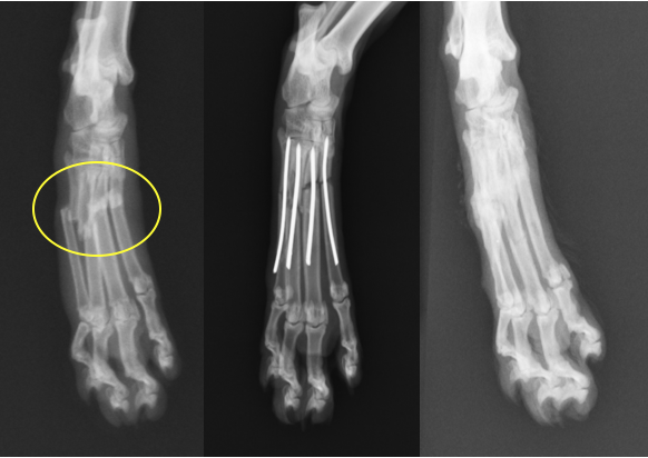
猫の手根関節の脱臼と中手骨骨折 淀川中央動物病院

猫の手根関節の脱臼と中手骨骨折 淀川中央動物病院

猫の骨格解剖図 完全ガイド 頭と首 胴体 前足と後足 骨盤としっぽの図解 子猫のへや

猫の骨格解剖図 完全ガイド 頭と首 胴体 前足と後足 骨盤としっぽの図解 子猫のへや

猫の骨格としなやかな動きの秘密

猫の骨格としなやかな動きの秘密

猫の骨格解剖図 完全ガイド 頭と首 胴体 前足と後足 骨盤としっぽの図解 子猫のへや

猫の骨格解剖図 完全ガイド 頭と首 胴体 前足と後足 骨盤としっぽの図解 子猫のへや

猫の骨格解剖図 完全ガイド 頭と首 胴体 前足と後足 骨盤としっぽの図解 子猫のへや

猫の骨格解剖図 完全ガイド 頭と首 胴体 前足と後足 骨盤としっぽの図解 子猫のへや

猫の手根関節の脱臼と中手骨骨折 淀川中央動物病院

猫の手根関節の脱臼と中手骨骨折 淀川中央動物病院

猫の手根関節の脱臼と中手骨骨折 淀川中央動物病院

猫の変形性関節症 症状 原因から治療法まで筋骨格系の病気を知る 子猫のへや

猫の変形性関節症 症状 原因から治療法まで筋骨格系の病気を知る 子猫のへや

動物 ペット の骨格についての情報 アメリカンペットメモリアル 猫 骨格 動物のスケッチ 猫の頭蓋骨

動物 ペット の骨格についての情報 アメリカンペットメモリアル 猫 骨格 動物のスケッチ 猫の頭蓋骨

Cgで見る生物のしくみとはたらき 手の骨

Cgで見る生物のしくみとはたらき 手の骨

猫の関節 骨 の図を見て驚いた件 香箱座りは手首だけを曲げてる ブリティッシュショートヘア 猫の小鉄

猫の関節 骨 の図を見て驚いた件 香箱座りは手首だけを曲げてる ブリティッシュショートヘア 猫の小鉄

動物別症例集 猫 アリーズ動物病院 渋谷区笹塚 幡ヶ谷 初台 代々木上原 世田谷 杉並 中野 新宿

動物別症例集 猫 アリーズ動物病院 渋谷区笹塚 幡ヶ谷 初台 代々木上原 世田谷 杉並 中野 新宿

足は手から進化したの Or手が足から進化したの からだ道場 猫の穴コラム からだ道場 猫の穴 生命 いのち を最高に輝かせよう

足は手から進化したの Or手が足から進化したの からだ道場 猫の穴コラム からだ道場 猫の穴 生命 いのち を最高に輝かせよう

ねこちゃんの前腕手根関節脱臼 京都府 宇治市 いちのさか動物病院 長谷川先生とちーすけのブログ

ねこちゃんの前腕手根関節脱臼 京都府 宇治市 いちのさか動物病院 長谷川先生とちーすけのブログ

チーター 骨格 Google 検索 猫 骨格 猫 描き方 ネコ イラスト

チーター 骨格 Google 検索 猫 骨格 猫 描き方 ネコ イラスト

猫がスコ座り おやじ座り をする 不思議な行動に現れる猫の本能や習性を知る 子猫のへや

猫がスコ座り おやじ座り をする 不思議な行動に現れる猫の本能や習性を知る 子猫のへや

猫の骨格解剖図 完全ガイド 頭と首 胴体 前足と後足 骨盤としっぽの図解 子猫のへや

猫の骨格解剖図 完全ガイド 頭と首 胴体 前足と後足 骨盤としっぽの図解 子猫のへや

居合と科学 39 手関節の解剖と機能 富山de居合 無涯塾日記

居合と科学 39 手関節の解剖と機能 富山de居合 無涯塾日記

猫の手根関節の脱臼と中手骨骨折 淀川中央動物病院

猫の手根関節の脱臼と中手骨骨折 淀川中央動物病院

症例報告 Mri 整形外科 脳神経外科 小滝橋動物病院 新目白通り 第2高度医療センター

症例報告 Mri 整形外科 脳神経外科 小滝橋動物病院 新目白通り 第2高度医療センター

治療例 骨折 猫 なかがわアニマルクリニック 手稲区と西区の境の動物病院

治療例 骨折 猫 なかがわアニマルクリニック 手稲区と西区の境の動物病院

Source : pinterest.com